Lid Comunidad
La comunidad de lid, chatea, y debate.
4 almas
4 almas
¡Aún no hay publicaciones!
Conoce a Nuevas Personas
50.000.000+ DESCARGAS
La comunidad de lid, chatea, y debate.
4 almas
4 almas
¡Aún no hay publicaciones!
Conoce a Nuevas Personas
50.000.000+ DESCARGAS
Publicaciones Relacionadas
3m
INFP
Géminis
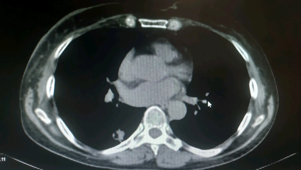
Nodulo pulmonar solitario en segmento superior de lóbulo inferior derecho (LID). A esto en radiología se le puede llamar de varias maneras, por ejemplo condensación pulmonar con bronquio abierto (el puntito negro que se ve en la imagen más blanca) en contacto con pleura (está pegada a pared... leer más




3
2
5m
INFJ
Géminis
✨🇨🇱 Dnes slavíme Chile 🇨🇱✨ Někteří říkají, že my Chilané mluvíme špatně, že to myslíme vážně, že se ani neumíme dobře bavit... Ale nevědí, že v každém po, wea a cachai leží náš vtip, naše neplecha a naše náklonnost. Nevědí, že naše vážnost je také solidaritou, když se země třese, a že v... (editado) leer más

1
0
5m
INFJ
Géminis
✨🇨🇱 Dnes slavíme Chile 🇨🇱✨ Někteří říkají, že my Chilané mluvíme špatně, že to myslíme vážně, že se ani neumíme dobře bavit... Ale nevědí, že v každém po, wea a cachai leží náš vtip, naše neplecha a naše náklonnost. Nevědí, že naše vážnost je také solidaritou, když se země třese, a že v... leer más

1
0