Posted Tuesday, November 14, 2023
2y
ESTJ
Virgo
Is it possible to melt an ice with absolute zero temperature?
1
10
The science community, chat, and discussion.
3.4M SOULS
2y
ENFJ
Sagittarius
2
3
2y
ENFJ
Capricorn
1
3
Meet New People
50,000,000+
DOWNLOADS
10d
INFJ
Cancer
There are 5 main oceans...Atlantic, Pacific, Indian, Artic and Southern Ocean. Which one is your TOPMOST favorite? 💭And why? ( Ex: Your pick could be because of associated memories, life events, Marine life, etc) (edited)

31
29
2d
INFJ
Scorpio
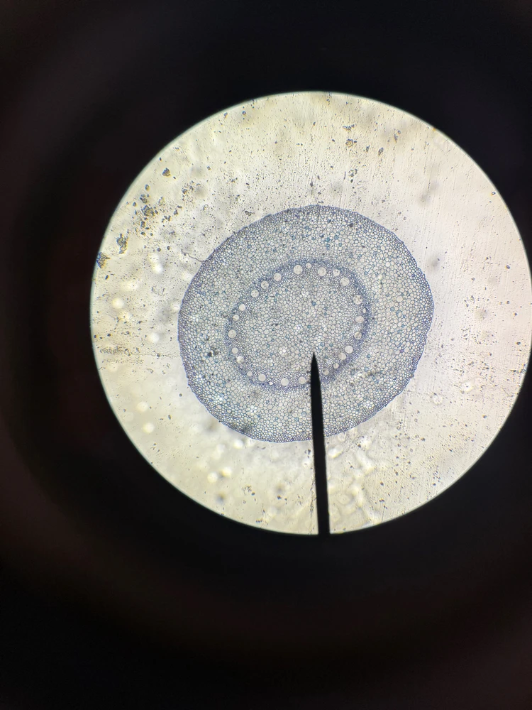
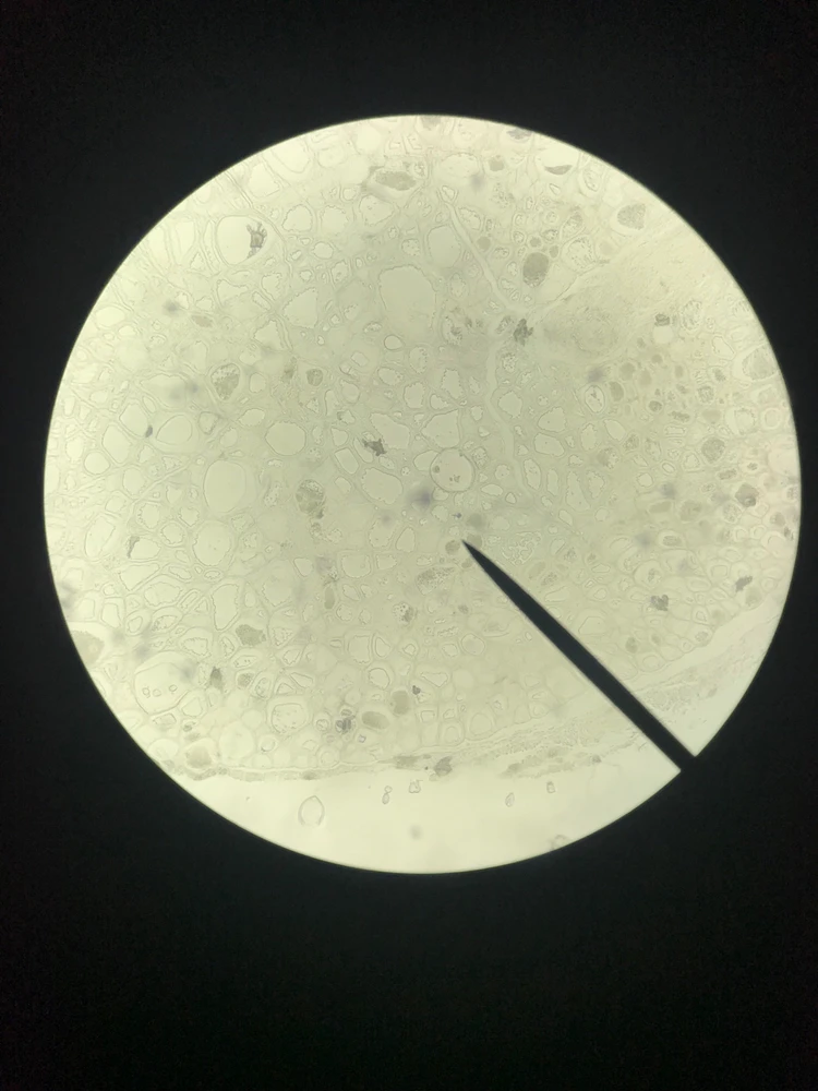
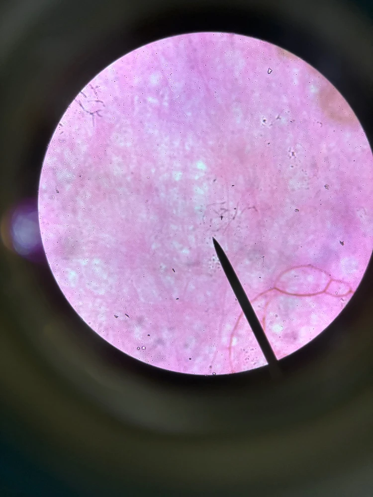
all of cells and things that i observed using the microscope 🤍🥹











21
14
9d
ESTP
Sagittarius
Giraffes hearts weigh up to 25 lbs, so don’t break Jeffrey’s heart homie
24
6
28d
ESTJ
lets see

81
12
2y
INFP
Libra

0
1
1d
INTJ
Gemini
Very happy with the goodies I received for my blouse and my badge ~ 🥼🔬



7
0
4d
INFP
Virgo
The Atoms in your body '🫵Literally You🫵' Are about 13.8 billion years old. Almost every atom was formed in the core of a star that exploded long before the Earth existed. In other words, you are made of stardust. Every heartbeat is the echo of cosmic explosions that happened eons before humans... read more
3
9
2y
ESTJ
Virgo
What may happen if we throw an object that is as hot as a sun into a room with a temperature absolute zero?
2
6
4d
INFP
Virgo
Science asks simple questions, then answers them in a language no one asked for
2
16
2y
INTJ
Capricorn
Just melting some cornstarch peanuts in the sink.
5
2
10d
ENFP
Scorpio
This is an American Coot. It's a bit of challenge to taxidermy these water birds because of how much oil they have, as well as the fat stored in their bodies.

7
7
6d
INTJ
Aquarius

2
12
13d
INTP
Aries
I have to take an environmental conservation class and its honestly just a bummer every time. Its all going downhill and there's no chance that people are going to stop polluting the Earth or instill fixes because they cost money. Genuinely, why did we create the concept of money? I just wanna go... read more
7
5
6d
INTJ
Aquarius
🤞🏾🤞🏾🤞🏾😅 (edited)

1
17
10d
INTP
Virgo

5
1
1mo
ENFP
Scorpio

59
17
20d
ENTJ
Aquarius

6
1
4d
ISTJ
Capricorn
Recently learned about some worms that can break down plastics into fat. Just wondering if anyone think it's viable, could be upscale, or if we just find the chemical process out and do it mechanically ourselves (edited)
1
2
14d
ISTJ
Taurus
This is an L-39 on the left and a Subsonex on the right. The L-39 is about 39 feet long and the Subsonex is around 16 feet long. The L-39 was built in the Czech Republic whereas the Subsonex was built in a garage. Trying to land in the Subsonex is like trying to land in a go cart because of how... (edited) read more

4
1
18d
ISTP
Virgo
Way too much stuff in my head not to share, can probably answer most things. (edited)
2
8
13d
INTP
Aquarius
5
2
27d
INFJ
Taurus
I'm a sucker for collecting rocks and since I'm studying environmental science this was an EPIC find. A piece of very heavy basalt. From where I found it, the only location it could've come from would've been a 3 million year old magma sill in South Wales. It has tiny pyrite crystals in it if you... read more


23
3
19d
INTP
Sagittarius
Science says It feels like magic. But it’s your brain working overtime behind the scenes. What we call “gut instinct” isn’t supernatural. It’s actually your brain drawing on millions of past experiences to make rapid-fire predictions before your conscious mind even catches up. Neuroscientists... read more

6
4
27d
INFJ
Cancer
🪐What's your topmost favorite planet in our Solar System and Why? ( Yes, that includes Pluto even though it's classification has changed) (edited)

10
24
24d
INFJ
Sagittarius
Also reminds me of what happens when you give a wrong response to a girlfriend/wife 🤔😏
2
2
1mo
ESTJ
uh i didnt mean to have that much fun 😳

63
21
18d
INTJ
Libra
So with the advancements in medical research, we can extend human life by 2030 and eventually regenerate cells to keep people at their prime. If we also have the tech to modify our names with gene editing to make ourselves taller, would we just become the elves from lotr?
1
3
10d
INTP
Aries
Did you notice the appearance of that self similar structure in the middle?...They are often referred to as fractals (this structure is not a true fractal becuase the recurrence is terminated at the center). In mathematics, we have a cool theory for them. A fractal is called a 'fractal' because its... read more

2
1
16d
ENFP
Gemini

1
1
15d
ENFJ
Capricorn
Unsettling but eye opening

1
1
3mo
INTP
Libra
23
3
29d
ENFJ
Leo
9 votes
2
6
1mo
ENTJ
Aquarius
Let's connect❤️
22
7
3mo
INTJ
Pisces
Building a board that goes into an eye probe for surgery. I love my job 🧑💻

17
7
1mo
INFJ
Testing, for science!
17
15
7mo
INTP
Cancer
10
14
2mo
ISFJ
Libra
17
15
4mo
ENFP
Sagittarius

18
5